ONE-SHADE UNIVERSAL COMPOSITE

Morpho butterfly’s wing color is produced by natural structural color phenomena, the same way OMNICHROMA produces color.

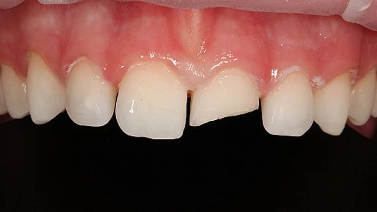
Before light curing

After curing & finishing

OMNICHROMA is the world’s first single-shade, universal composite to esthetically shade-match any tooth color from A1 to D4, streamlining the restorative process with an easy to handle, creamy, paste-like consistency.

INDICATIONS

  • Universal use for every class
  • Direct anterior and posterior restorations
  • Direct bonded composite veneers
  • Diastema closures
  • Repair of porcelain/composites

FEATURES

  • Unprecedented shade-matching ability and esthetics
  • Exceptional handling, polishability, and strength
  • Shade matches both before and after bleaching

BENEFITS TO CLINICIANS

  • Increased efficiency – saving time and money
  • Simplified inventory management
  • Reduction of composite waste
  • Never run low on composite shades ever again

Cases

These cases were done using OMNICHROMA.
In certain cases, OMNICHROMA BLOCKER may be needed.

Direct Composite Veneer

Case images courtesy of Dr. Ross Nash, Huntersville, NC

Class IV

Case images courtesy of Dr. Kevin Brown, Bellevue, WA

Strength

Compressive Strength

Dentin or Body Shade (MPa) / Enamel Shade (MPa)

The compressive strength of OMNICHROMA (436 MPa) is of average or higher levels among commercially available resin composites, ensuring clinically acceptable results.

Flexural Strength

Dentin or Body Shade (MPa) / Enamel Shade (MPa)

The flexural strength of OMNICHROMA (131 MPa) is of average or higher levels among commercial available resin composites, ensuring clinically acceptable results.

Composite Wear

Composite wear (%linear)

OMNICHROMA exhibits an excellent balance between volume loss of the composite resin and wear of the human tooth.

Enamel Wear / Abrasion

Abrasion depth of tooth (µm)

When compared to other commercially available resin composites, OMNICHROMA is less likely to abrade opposing teeth while not becoming easily abraded itself.

Glossiness

Glossiness (%)

The results show that OMNICHROMA produces extremely high glossiness.

Polishability

After just 30 seconds, OMNICHROMA reaches higher levels of gloss than other products can achieve in 60 seconds.

Radiopacity

The radiopacity of OMNICHROMA is average, sufficient for diagnostic observations.

Compressive Strength

Dentin or Body Shade (MPa) / Enamel Shade (MPa)

The compressive strength of OMNICHROMA (436 MPa) is of average or higher levels among commercially available resin composites, ensuring clinically acceptable results.

Flexural Strength

Dentin or Body Shade (MPa) / Enamel Shade (MPa)

The flexural strength of OMNICHROMA (131 MPa) is of average or higher levels among commercial available resin composites, ensuring clinically acceptable results.

Composite Wear

Composite wear (%linear)

OMNICHROMA exhibits an excellent balance between volume loss of the composite resin and wear of the human tooth.

Enamel Wear / Abrasion

Abrasion depth of tooth (µm)

When compared to other commercially available resin composites, OMNICHROMA is less likely to abrade opposing teeth while not becoming easily abraded itself.

Glossiness

Glossiness (%)

The results show that OMNICHROMA produces extremely high glossiness.

Polishability

Color Change (ΔE*)

After just 30 seconds, OMNICHROMA reaches higher levels of gloss than other products can achieve in 60 seconds.

Radiopacity

The radiopacity of OMNICHROMA is average, sufficient for diagnostic observations.

Testimonials

❝ OMNICHROMA is a one-stop shop for shade matching and it has excellent handling properties, polishability and wear resistance. I can achieve predictable, excellent results with this composite and it has become the first material that I reach for in most direct-restorative clinical situations.❞

Dr. Pam Maragliano,
Salem, MA

❝ OMNICHROMA is GROUNDBREAKING—a win-win for all offices. No need to stock 30 composite shades that expire and take up space. So economical and it works great! ❞

Dr. Peter Auster,
Pomona, NY

❝ It is said that matching the color of a single tooth is the hardest thing we do as dentists. Actually, matching a portion of a single tooth is even harder. OMNICHROMA takes the guess work out of picking shades for aesthetic composite restorations. Finally…one shade truly matches all.❞

Dr. Robert Lowe,
Charlotte, NC

Procedure Guide

FAQs

Literature

Posterior

Anterior

OMNICHROMA
Brochure

OMNICHROMA
Brochure (French)

Instruction for Use

OMNICHROMA
Instructions for Use

Instruction for Use

OMNICHROMA BLOCKER
Instruction for Use

OMNICHROMA
Tech Report

Safety Data Sheet

OMNICHROMA
Safety Data Sheet

Strong.
Durable.
Versatile.

BUY 3, GET 1
AT NO CHARGE!

This website uses cookies to enhance your browsing experience and ensure the site functions properly. By continuing to use this site, you acknowledge and accept our use of cookies.

Accept All Accept Required Only